Fixed Partial Dentures (FPD)
Book An Appointment
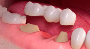
Fixed Partial Dentures (FPD) – Permanent Tooth Replacement Solution in Bangalore

Welcome to the advanced world of dental restorations with Fixed Partial Dentures (FPD) – a durable, reliable, and permanent solution for replacing missing teeth. At Imperial Dental & Aesthetic Clinic, we specialize in providing world-class tooth replacement treatments to restore not just your smile but also your confidence and overall oral health.
Why Choose Fixed Partial Dentures (FPD)?
Fixed Partial Dentures, also commonly known as dental bridges, are an excellent choice for patients with one or more missing teeth. Missing teeth can cause functional and aesthetic problems, leading to difficulties in chewing, speech issues, and shifting of surrounding teeth.
Here’s why FPDs are highly recommended:
Restores Smile Aesthetics: Fills gaps left by missing teeth with a natural and seamless look.
Improves Chewing Efficiency: Provides stability and functionality, making eating more comfortable.
Maintains Dental Alignment: Prevents neighboring teeth from shifting or becoming misaligned.
Permanent Solution: Unlike removable dentures, FPDs are fixed securely in place.
Durable and Long-Lasting: Built with high-quality materials like zirconia or porcelain for maximum strength and longevity.
✨ Transform your smile with our expert tooth replacement services – Book Your Appointment today!
Step-by-Step Process of Fixed Partial Denture Treatment
Detailed Assessment
Your dentist thoroughly examines your oral health, focusing on the condition of the adjacent teeth and gums. A personalized treatment plan is created to design the ideal dental bridge for you.Tooth Preparation
The adjacent teeth (abutments) are carefully shaped by removing a thin layer of enamel to support the crowns that will hold the bridge securely.Precise Impressions
Highly accurate dental impressions are taken to create a custom-fitted bridge that matches the color, shape, and size of your natural teeth.Temporary Bridge Placement
A temporary bridge may be placed to protect the prepared teeth and maintain functionality while the permanent bridge is being fabricated.Permanent Bridge Placement
Once ready, the custom bridge is permanently bonded or cemented, giving you a stable and natural-looking restoration.
Post-Care Tips for Fixed Partial Dentures
Maintain Excellent Oral Hygiene: Brush and floss daily, especially around the bridge, using special floss threaders to prevent plaque buildup.
Avoid Hard Foods: Stay away from hard or sticky foods to prevent damage to the dental bridge.
Routine Dental Check-ups: Visit your dentist regularly to monitor the health of your gums, supporting teeth, and bridge condition.
Use a Mouthguard (If Needed): If you grind your teeth at night, a mouthguard can help protect your bridge.
📅 Keep your new smile healthy! Schedule a check-up now.
Advantages of Fixed Partial Dentures
Permanent Stability: FPDs are securely anchored, offering unmatched stability compared to removable dentures.
Natural Look: Designed to blend seamlessly with surrounding teeth for a beautiful, natural smile.
Restored Functionality: Chewing, biting, and speaking become easier and more efficient.
Long-Term Oral Health: Helps maintain the proper alignment of your natural teeth and prevents further dental complications.
Quick and Effective Treatment: The process is faster compared to implants, offering a quicker solution for missing teeth.
Imperial Dental & Aesthetic Clinic – Best Dental Clinic in Bangalore
At Imperial Dental & Aesthetic Clinic, located on Kanakapura Road, Bangalore, we pride ourselves on delivering top-notch dental care with a patient-first approach. Our clinic combines advanced technology, modern techniques, and a team of highly experienced dental professionals to provide affordable yet premium treatments.
Our services include:
Root Canal Treatment – painless and precise tooth-saving procedures.
Dental Implants – permanent solutions for missing teeth.
Invisalign & Orthodontic Treatments – for perfectly aligned teeth.
Smile Designing & Cosmetic Corrections – enhance your natural beauty.
Pediatric Dentistry – gentle and expert care for children.
Teeth Scaling & Whitening – maintain healthy, bright teeth.
Dental Extractions (Impactions) – safe and comfortable removals.
Veneers & Crowns – for restoration and smile enhancement.
Visit Us: Vajarahalli, Kanakapura Road, Bangalore
Call Us: 9019228700 | 9663398700
Website: www.imperialdentalaesthetic.com
Your smile deserves the best – Book Your Appointment Now and experience exceptional dental care at Imperial Dental & Aesthetic Clinic!